A bőrproblémák közül kettő különösen gyakran okoz fejfájást az embereknek: a pikkelysömör és az ekcéma. Mindketten tudják, milyen frusztráló lehet, amikor a bőrünk nem úgy néz ki és érzi magát, ahogy szeretnénk. A viszketés, a fájdalom és a látható tünetek nemcsak fizikai kellemetlenségeket okoznak, hanem az önbizalmunkat is megingathatják.
Ezek a bőrbetegségek sokkal összetettebbek, mint ahogy első ránézésre tűnhetnek. Míg sokan egyszerű bőrirritációnak tekintik őket, valójában komplex immunrendszeri folyamatok állnak a hátterükben. A pikkelysömör autoimmun betegség, míg az ekcéma gyakran allergiás vagy genetikai hajlamhoz köthető. Mindkettő krónikus állapot, ami azt jelenti, hogy hosszú távú kezelési stratégiára van szükség.
Itt megtudhatod, hogyan különböztesd meg őket egymástól, milyen hatékony kezelési módszerek állnak rendelkezésre, és hogyan alakíthatsz ki egy személyre szabott gondozási rutint. Praktikus tippeket kapsz a mindennapi életvitelhez, és megismerheted azokat a természetes megoldásokat is, amelyek kiegészíthetik az orvosi kezelést.
Mi a különbség a pikkelysömör és az ekcéma között?
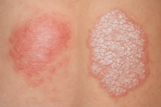
A két bőrbetegség gyakran összemosódik az emberek fejében, pedig alapvető különbségek vannak közöttük. A pikkelysömör jellemzően vastag, ezüstös pikkelyekkel borított, jól körülhatárolt vörös foltokat hoz létre. Ezek a foltok leggyakrabban a könyökön, térden, fejbőrön és az alsó háton jelentkeznek.
Az ekcéma ezzel szemben inkább száraz, viszkető, gyakran nedvező vagy kérges területeket okoz. A bőr általában vörös, duzzadt és meleg tapintású lehet. Az ekcéma hajlamos a testredőkben megjelenni – a könyökhajlatban, térdek mögött, nyakon vagy csuklókon.
A legfontosabb felismerés, hogy míg a pikkelysömör pikkelyei könnyen leválnak, az ekcémás bőr inkább nedvezik vagy száraz lesz, de pikkelyek nélkül.
Okok és kiváltó tényezők feltérképezése
Pikkelysömör hátterében álló tényezők:
🔸 Genetikai hajlam – családi előfordulás gyakori
🔸 Stressz és érzelmi megterhelés – jelentős kiváltó tényező
🔸 Fertőzések – különösen torokgyulladás
🔸 Gyógyszerek – bizonyos vérnyomáscsökkentők, lítium
🔸 Sérülések – karcolások, vágások helyén új foltok
Ekcéma kialakulását befolyásoló elemek:
- Allergiás reakciók – ételek, pollenek, háziporok
- Irritáló anyagok – mosószerek, parfümök, vegyi anyagok
- Időjárási változások – különösen száraz, hideg levegő
- Hormonális ingadozások – menstruáció, terhesség alatt
- Túlzott tisztálkodás – a bőr természetes védőrétegének károsítása
A környezeti tényezők mindkét esetben kulcsszerepet játszanak. A száraz levegő, a hirtelen hőmérsékletváltozások és a szennyezett környezet egyaránt ronthatják a tüneteket.
Hatékony orvosi kezelési módszerek
A modern orvostudomány számos bevált terápiás lehetőséget kínál mindkét betegség kezelésére. A szakorvosok általában fokozatos megközelítést alkalmaznak, kezdve a legkíméletesebb módszerekkel.
Helyi kezelések spektruma
| Kezelés típusa | Pikkelysömör | Ekcéma | Alkalmazás gyakorisága |
|---|---|---|---|
| Kortikoszteroid krémek | Erős hatású | Közepes-gyenge hatású | Napi 1-2x |
| Kalcineurin gátlók | Tacrolimus | Pimecrolimus | Napi 2x |
| D-vitamin analógok | Calcipotriol | Nem alkalmazott | Napi 1-2x |
| Hidratáló krémek | Kiegészítő | Alapkezelés | Többször naponta |
A szisztémás kezelések akkor kerülnek szóba, amikor a helyi terápia nem elegendő. Ezek között találjuk a hagyományos immunszuppresszáns szereket, mint a metotrexát vagy a ciklosporin, valamint az újabb biológiai terápiákat.
A biológiai gyógyszerek forradalmasították a súlyos esetek kezelését, célzottan blokkolva azokat az immunrendszeri folyamatokat, amelyek a betegség kialakulásáért felelősek.
Természetes és alternatív megoldások
Sok ember keres kiegészítő módszereket az orvosi kezelés mellett. Ezek a természetes megközelítések segíthetnek enyhíteni a tüneteket és javítani az életminőséget.
Az aloe vera gél kiváló hidratáló és gyulladáscsökkentő hatással bír. Frissen vágott aloe leveléből nyert gél közvetlenül a bőrre alkalmazva enyhítheti a viszketést és a bőrpírt. Fontos azonban, hogy tiszta, adalékanyag-mentes terméket használjunk.
A tengeri só fürdők évszázadok óta ismert gyógyító hatásúak. A Holt-tenger sója különösen gazdag ásványi anyagokban, amelyek segíthetnek a bőr regenerációjában. Hetente 2-3 alkalommal 15-20 perces fürdő ajánlott langyos vízben.
Táplálkozási támogatás
| Hasznos tápanyag | Források | Hatás |
|---|---|---|
| Omega-3 zsírsavak | Halolaj, lenmag, dió | Gyulladáscsökkentő |
| Cink | Tökmagok, marhahús | Bőrregeneráció |
| E-vitamin | Mandula, napraforgóolaj | Antioxidáns védelem |
| Probiotikumok | Joghurt, kefir | Immunrendszer egyensúly |
Mindennapi életvitel és bőrápolási rutinok
A megfelelő bőrápolási rutin kialakítása kulcsfontosságú mindkét betegség kezelésében. Ez nem csupán a megfelelő termékek kiválasztásáról szól, hanem egy teljes életmódbeli megközelítésről.
A tisztálkodás során kerüljük a túl forró vizet és a kemény szappanokat. A langyos víz és a pH-semleges, illatanyag-mentes tisztítószerek sokkal kíméletesebb választások. Zuhanyzás után azonnal, még nedves bőrre kenjük fel a hidratáló krémet – ez segít "bezárni" a nedvességet.
A stresszkezelés legalább olyan fontos, mint a helyi kezelések. A rendszeres relaxáció, meditáció vagy jóga gyakorlása jelentősen javíthatja a bőr állapotát.
Ruházat és környezet optimalizálása
🌟 Természetes anyagok választása – pamut, len, selyem
🌟 Mosószerek alapos kiöblítése a ruhákból
🌟 Lakás páratartalmának 40-60% közötti szinten tartása
🌟 Allergiás kiváltó tényezők minimalizálása
🌟 Rendszeres ágyneműcsere és poratkamentesítés
A környezeti tényezők tudatos kontrollálása sokat segíthet a tünetek megelőzésében és enyhítésében.
Megelőzési stratégiák és hosszú távú gondozás
A sikeres kezelés nem csak a tünetek csillapításáról szól, hanem a visszaesések megelőzéséről is. Ez egy folyamatos odafigyelést igénylő folyamat, amely során megtanuljuk felismerni saját szervezetünk jelzéseit.
A kiváltó tényezők azonosítása személyre szabott megközelítést igényel. Érdemes napló vezetése, amelyben rögzítjük a tünetek súlyosbodását és a lehetséges okokat. Ez lehet bizonyos étel fogyasztása, stresszes időszak vagy időjárás-változás.
A rendszeres orvosi kontroll elengedhetetlen a hosszú távú sikeres kezeléshez. Ne hagyjuk, hogy a tünetek súlyosbodása megelőzze az orvosi beavatkozást.
Életminőség javítása
A krónikus bőrbetegségekkel való együttélés pszichológiai kihívásokat is jelenthet. A társadalmi megítélés, az esztétikai aggodalmak és a fizikai kellemetlenségek együttesen befolyásolhatják a mentális egészségünket.
Fontos felismerni, hogy ezek a betegségek nem fertőzőek, és senkinek sem kell miattuk szégyenkeznie. A támogató közösségek, akár online, akár személyesen, nagy segítséget nyújthatnak a mindennapi kihívások leküzdésében.
A pozitív hozzáállás és a türelem kulcsfontosságú. A bőrbetegségek kezelése időt igényel, és a javulás fokozatos folyamat.
Mikor forduljunk orvoshoz?
Bár sok esetben a tünetek enyhék és otthon is kezelhetők, vannak olyan helyzetek, amikor szakorvosi segítségre van szükség. Ha a bőrtünetek hirtelen súlyosbodnak, nagy területet érintenek, vagy a mindennapi tevékenységeket jelentősen akadályozzák, ne halogassuk az orvosi konzultációt.
A fertőzés jelei – fokozott melegség, gennyes váladék, láz – azonnali orvosi ellátást igényelnek. Ugyanígy, ha a korábban bevált kezelések hatástalanná válnak, vagy új, szokatlan tünetek jelentkeznek.
Ne felejtsük el, hogy a korai és megfelelő kezelés megelőzheti a szövődményeket és javíthatja a hosszú távú prognózist.
Milyen gyakran kell hidratálni a bőrt pikkelysömör és ekcéma esetén?
Naponta többször is szükséges lehet a hidratálás, különösen zuhanyzás vagy kézmosás után. A bőr állapotától függően akár 3-4 alkalommal is.
Lehet-e gyógyítani a pikkelysömört és az ekcémát?
Mindkét betegség krónikus állapot, de megfelelő kezeléssel a tünetek jól kontrollálhatók és hosszú tünetmentes időszakok érhetők el.
Milyen élelmiszereket kerüljünk?
Egyénileg változó, de gyakori kiváltók lehetnek a tejtermékek, dió, tojás, glutén, és bizonyos fűszerek. Érdemes napló vezetése.
Használhatunk-e kortikoszteroid krémeket hosszú távon?
Csak orvosi felügyelet mellett, mert hosszú távú használat bőratrófiát és egyéb mellékhatásokat okozhat.
Segíthet-e a napsugárzás?
Mérsékelten igen, de óvatosan kell bánni vele. A túlzott napozás súlyosbíthatja a tüneteket, ezért fokozatos expozíció ajánlott.
Öröklődnek-e ezek a betegségek?
Mindkét betegségre van genetikai hajlam, de nem biztos, hogy a gyermek is megbetegszik. A környezeti tényezők is nagy szerepet játszanak.

